Continual efferocytic clearance of apoptotic cells (ACs) by macrophages prevents necrosis and promotes injury resolution. Macrophages take up arginine and ornithine from apoptotic cells and convert...
News
Macrophage mTORC1 senses protein in the diet in vivo and mediates dietary protein-driven atherosclerosis and lesion complexity by regulating mitophagy and mitochondria apoptosis.
Fatty acid binding protein 5 (FABP5) is gatekeeper of mitochondrial integrity that modulates Treg function via a mechanism involving mtDNA release, cGAS-STING-dependent type I IFN signaling and...
Oxidized phospholipids (OxPLs), which arise due to oxidative stress, are proinflammatory and proatherogenic, but their roles in non-alcoholic steatohepatitis (NASH) are unknown. This study suggests...
We have another round of publications from two AIM Center affiliates, both supported by the AIM Center's P20 grant!
First we have "Preclinical efficacy of the GPER-selective agonist G-1 in mouse...
Upon TCR stimulation, pyruvate kinase M2 (PKM2) translocates into the nucleus of CD4+ cells, leading to activation of glycolysis and Th17/Th1 polarization. A small-molecule PKM2 activator TEPP-46...
Metabolic pathway fatty acid oxidation plays a critical role in the regulation of glycolysis and IFNg production in CD8+ T cells. Obesity promotes breast tumorigenesis by inhibiting CD8+ T cell...
Two new publications have recently been published online through Cell. The first is from AIM Center co-director, Dr. Prossnitz, titled, "A Selective Ligand for Estrogen Receptor Proteins Discriminates...
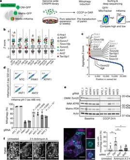
Adenine nucleotide translocator (ANT) complex inhibits the presequence translocase TIM23, leading to stabilization of PINK1 and promotion of mitophagy in response to bioenergetics collapse. ANT...
Under conditions such as hypoxia or starvation, an mTORC1-lipid signalling pathway initiates mitochondrial proteolysis by YME1L, a mitochondrial inner membrane i-AAA protease. The mTORC1–LIPIN1–YME1L...





